
Services
Greffes de gencives
Les racines de vos dents sont exposées?
Et s’il y avait une solution simple?
Récession
gingivale
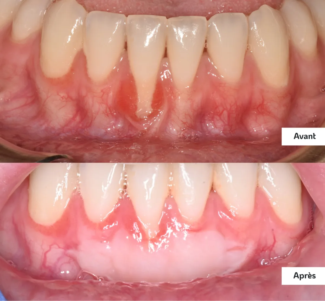
Une récession gingivale est un déplacement du bord de la gencive causant une exposition de la racine de la dent.
La cause principale de la récession dentaire est la position de la dent par rapport à l'os. Lorsque la dent est positionnée trop vers l’extérieur de l’os, une récession peut apparaître.
D’autres causes secondaires, comme le brossage trop vigoureux, ou une attache de tissu (« frein ») au bord de la gencive, peuvent aggraver la situation, mais c’est la position de la dent dans l’os qui est la cause principale.

Le manque de tissus gingival
Une dent peut également avoir un autre problème de gencive : l’absence de gencive de « bonne ou saine qualité » .
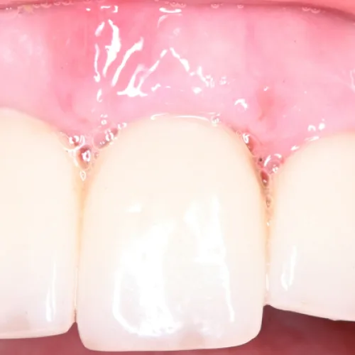
Une saine gencive est un tissu de couleur rose, ferme et épais, qui permet de protéger adéquatement la dent et son os. Lorsque ce tissu est absent, c’est la muqueuse (ou tissu) de la joue ou de la lèvre qui se rend jusqu’au bord de la dent. Ce tissu est trop mince et fragile pour pouvoir protéger la dent et son os lors de la mastication et ces zones deviennent à risque de récession gingivales.
Les conséquences de l’absence de vrai tissu gingival sont :
- Aucune protection contre tout blessure lors de l’alimentation.
- Un brossage de cette dent inefficace, car la région est sensible au touché de la brosse à dent.
- Le risque d’apparition d’une récession gingivale, ou risque de progression d’une récession déjà présente.
Solution : la greffe de gencive
La greffe de gencive est une intervention visant à remonter ou épaissir le tissu gingival. Le tissu utilisé est prélevé du côté du palais, puis fixé au site du déchaussement.
Selon votre situation, la « nouvelle » gencive est placée sur la surface extérieur du tissu gingival déjà existant, en bas de la dent (technique GAL), ou elle est insérée entre le tissu greffé et la dent, comme une lettre dans une enveloppe (technique GTC).
Votre parodontiste choisira la technique appropriée selon le problème à corriger. La technique GAL ne permet que l’épaississement du tissu de la région affaissée et ne couvre pas la racine; alors que la technique GTC a pour objectif de recouvrir les racines dentaires exposées.


Les avantages de ce traitement
La greffe de gencive permet d’augmenter la hauteur du tissu gingival sur la dent, tout comme son épaisseur. Elle peut donc accroitre ses fonctions protectrices. La greffe de gencive est un traitement de choix afin de prévenir la progression d’un affaissement gingival ou l’apparition de récession gingivale. Ce processus peut recouvrir une racine dentaire dans le cas où elle serait exposée. Par le fait même, la greffe diminue la sensibilité dentaire pouvant être provoqué par la perte de tissu gingival.
Les gencives, en plus de fournir une protection aux dents, aident également ces dernières à demeurer en place. Un ajout de ce tissu empêche ainsi un possible déchaussement de la dent. Outre l’utilisation de ce traitement pour l’obtention et le maintien d’une bonne santé bucco-dentaire, une greffe de gencive améliore l’esthétique du sourire, en recouvrant les régions où le tissu gingival est absent ou trop fin. D’ailleurs, la période de récupération de cette procédure est généralement bien tolérée, étant donné la rapidité de la chirurgie et le fait qu’elle soit peu invasive.
Sédation intra veineuse et Ativan disponibles au besoin.
Pour un traitement sans stress!
Avez-vous des questions?
Nous avons des réponses! Consultez notre foire aux questions pour de plus amples renseignements.